作为一名病理医生,我工作的直接对象不是病人,而是一个个标本、一张张病理片子。透过这一张张玻璃,我看到了一个个有血有肉的病人的细胞,我触摸到了真实的、世间最宝贵的东西——生命的基本单位(细胞)。
在几十年与癌症家族的“对话”中,我对于它们的“脾气秉性”了解熟悉也就慢慢从无到有,从少到多。它们的“喜怒哀乐”处处展现在你的面前,这时就看你是否能够认识它们。
癌症,虽然人们都会“怕、恨、躲、远”之,但其实它们不是清一色地“可恶”,有些还是蛮“善良”的,这样的善良癌,会与你同在屋檐下互相依存,同呼吸共命运,直到有一天一起失去活性。
不信的话,我举个例子你瞧瞧,你一定也会做出这个判断的。
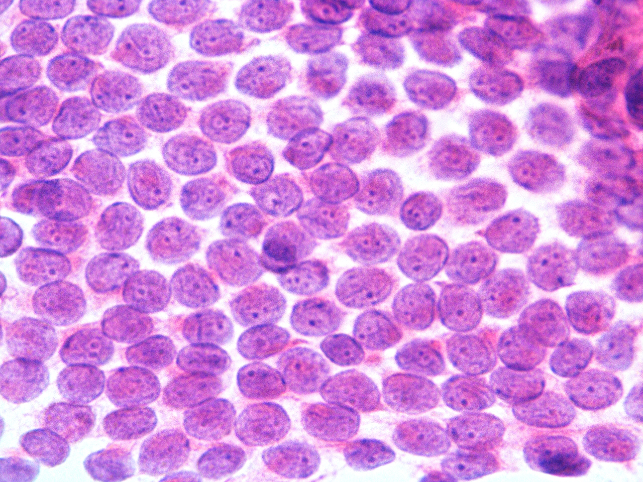
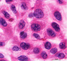
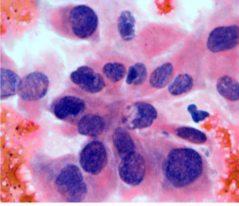
这3张图是3个甲状腺癌病人的癌细胞。图1、图2、图3 中,你能认识哪个最“善良”,哪个最“凶恶”呢?

图1

图2

图3
健康与疾病的判断依据取决于与细胞的对话,病理医生的训练也就是学会与细胞的对话。
纪小龙,著名病理学家,从医40余年。原解放军总医院、武警总医院教授与主任医师。
~~~欢迎转发~~~
!!!转载请联系我们获取授权!!!