慢性胃炎成年人几乎都有,人们似乎已经不再“忧心忡忡”了。但日常工作中还是会不断遇到“我的肠化会发展到胃癌吗?怎么预防”、“我的萎缩性胃炎发展下去就是胃癌,用什么办法解决”等一类的问题,说明人们对于“肠化”“萎缩”还处于“忧心忡忡”之中。
如果回顾一下近代医学对于胃粘膜病变的认识与不断深入的过程就会发现,50年前当纤维胃镜开始用于人体胃部直接观察检查之前,医学书上是没有胃粘膜腺体“萎缩”“肠化”之类的词句的,随着胃镜检查的开展和病例的积累,才逐渐出现了胃粘膜的萎缩性胃炎和胃粘膜腺体的肠化(肠上皮化生)。由于在胃癌的标本检查中发现萎缩与肠化的比例较高,于是就提出了“胃粘膜萎缩与肠化是癌前病变”的观点,并写进教科书中。此后几十年内接受医学教育和培训的医生也就自然而然地告诉病人,“肠化、萎缩是癌前病变”,于是,慢慢地被大众接受了。
然而,随着时间的推移,几十年过去了,当初发现的萎缩、肠化的人群,在“忧心忡忡”中渐渐变老中并没有发生胃癌。这才使得人们重新审视“萎缩、肠化是癌前病变”的观点,慢慢发现,与胃癌有密切关系的不是萎缩、肠化,而是一种被称为“异型增生”(又称“不典型增生”、“高级别上皮内瘤变”),也就是一种胃粘膜腺体细胞的异常增生性病变。所以,现在的见解是,当你做完胃镜病理检查后,如果是萎缩性胃炎或/和肠化,大可不必再“忧心忡忡”,只有当发现有异常增生时,才需要重视,并积极进行治疗(内科、内镜、外科等)。

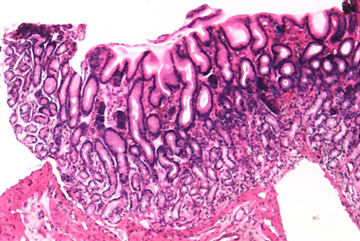
正常胃粘膜

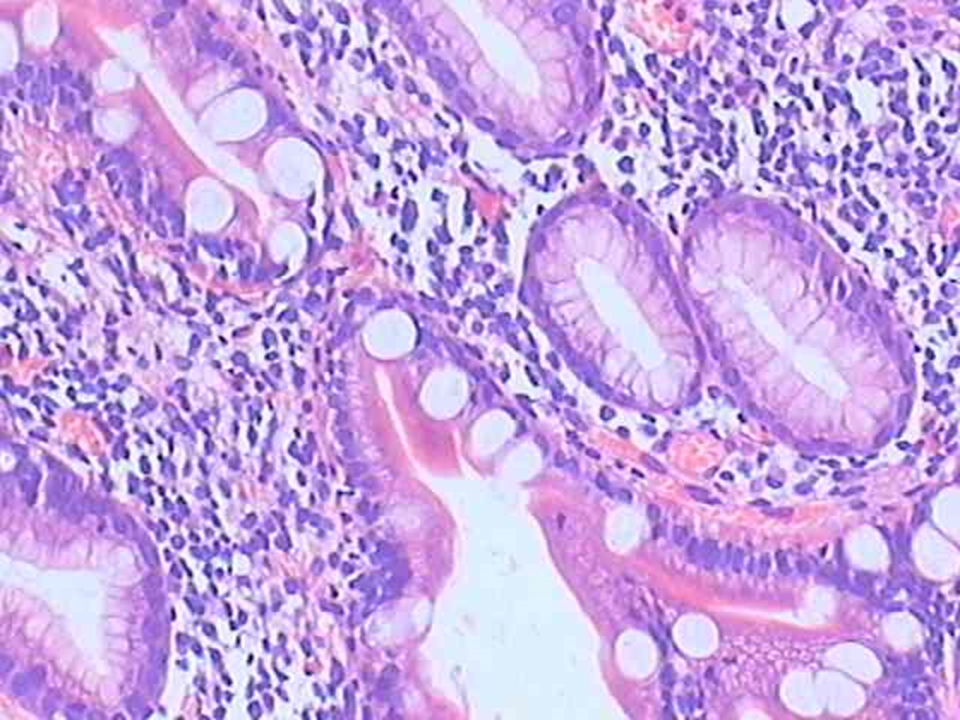
肠化的胃粘膜

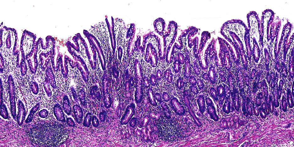
胃粘膜萎缩

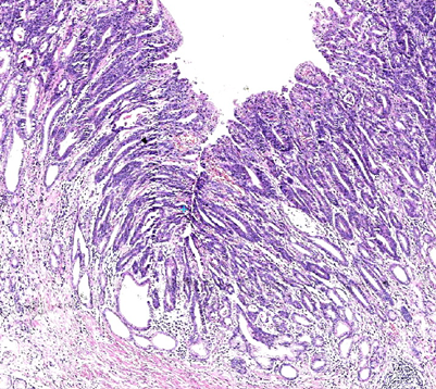
重度异型增生(又称为高级别上皮内瘤变)
纪小龙,著名病理学家,从医40余年。原解放军总医院、武警总医院教授与主任医师。