你有“慢性胃炎”吗?什么样的“慢性胃炎”才真正有必要担心?原解放军总医院、武警总医院教授与主任医师纪小龙为你权威解答。
慢性胃炎是不是一种疾病?人们几乎都会说:“当然是胃的一种慢性病”。太多的人因为有“慢性胃炎”而痛苦不堪,比如胃胀、胃痛、打嗝、嗳气、返酸、口苦、口臭、消化不好等等一堆症状和表现。于是乎,数不清的专治“慢性胃炎”的药物接踵而来,变换翻新,层出不穷。
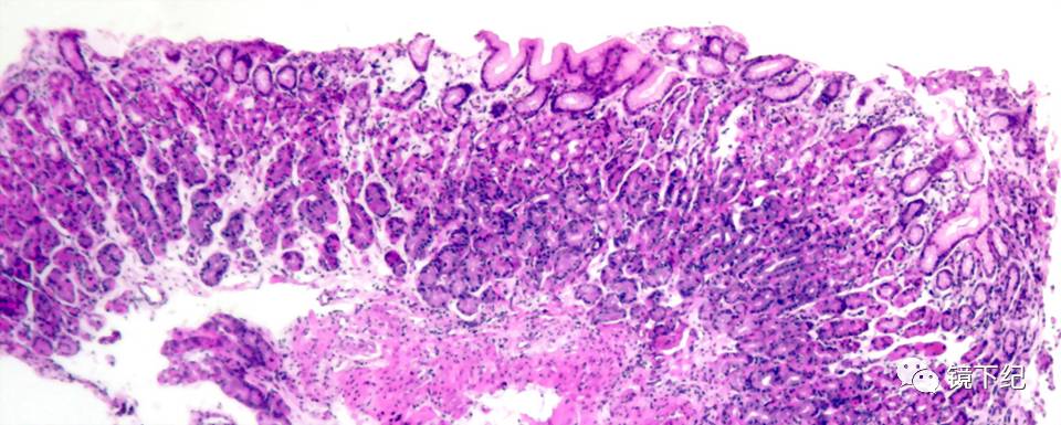
我想告诉大伙的是:“慢性胃炎”其实不是病,而是随着年龄的增加,胃部承担的工作量的累计,加上经年累月的饮食不当等,人们的胃器官不可避免地处于动态的“衰老”中,只要做胃镜检查并取一小粒胃粘膜到显微镜下观察(病理切片检查),几乎没有一个人是没有“慢性胃炎”的。这样的“生理性胃炎”是不需要治疗的。

图1 不需要治疗的慢性胃炎
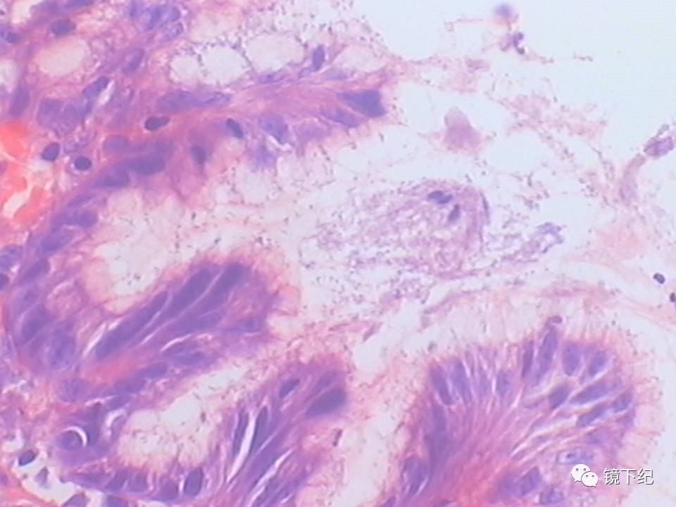
那么如何才是真的胃有毛病需要治疗呢?其实认真的胃镜检查+病理切片是可以发现真正需要治疗的“慢性胃炎”,也就是胃粘膜出现了不同程度的“损伤”,主要表现为糜烂、溃疡、幽门螺杆菌(Hp)感染等需要药物帮助的时候,出现这些问题,适当地用一些药物是有好处的。

图2 需要治疗的慢性胃炎
为此提醒一下,当前的问题是“慢性胃炎”被过度治疗了。
(延伸阅读:《肠化、萎缩都不是癌 只有异常增生才有危险》)
纪小龙,著名病理学家,从医40余年。原解放军总医院、武警总医院教授与主任医师。

推荐关注纪小龙医生公众号
~~~欢迎转发~~~
!!!转载请联系我们获取授权!!!