我们每个人应该都知道自己的年龄(出生至今的生存时间),此外可能还听说过生理年龄、心理年龄等,但你可能从来没有想过自己的“胃龄”(胃的年龄)。
人的胃每天都要进食(固体液体等)3000毫升左右的各类物质,一年下来就是1吨左右,10年就是10多吨,一辈子呢?可想而知,胃每天在干着“难以承受”的重活,那么,自然而然就会有损伤和“老化”。每个人的一张脸,年轻时与老年时的变化是很容易对比看出的,而胃内的变化,人们却因不知道而忽略了。
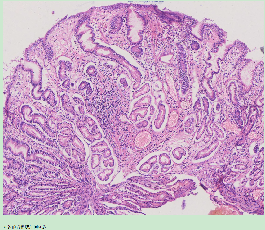
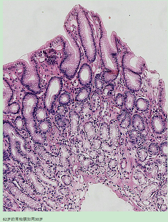
当我们在深入观察人体的胃部(胃镜+病理)后,一定会发现胃龄在不断变化之中。有的人虽然60岁了,胃粘膜却如同30岁的人;反之,有的人只有30岁,胃却到了60岁。可见,胃龄是不与实际年龄同步的。一旦胃早早“衰老”了,对身体各个部件的影响也就会接踵而至。


如何才能不让自己的胃早早衰老呢?原则上就是:
让胃充分得到应有的“休息”。具体说,不能暴食、饱食、难消化食、次数过多食等。胃每次进食后就要立刻“干活”,干一阵(1-2小时),胃就要休息几小时。如果总不让胃休息,那么,早早的衰老也就不可避免了。
如何判断自己的胃龄是目前医学还没有很好解决的课题。直接的证据是胃镜观察+活检病理组织学。两者结合起来,判断胃龄就准确多了。
纪小龙,著名病理学家,从医40余年。原解放军总医院、武警总医院教授与主任医师。
~~~欢迎转发~~~
!!!转载请联系我们获取授权!!!